Врачам пришлось экстренно восстанавливать кровоток. (ФОТО)
Врачи медсанчасти № 4 Омска в экстренном порядке провели операцию пациенту с осложненной формой ишемической болезни сердца, рассказали в региональном Минздраве.
Так, 70-летний мужчина долго игнорировал периодическую боль в грудной клетке. Но после того, как симптомы усилились от переживаний, пришлось все-таки вызывать «Скорую помощь».
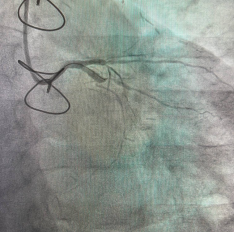
После госпитализации и обследования кардиологи диагностировали сложное атеросклеротическое поражение огибающей артерии с полным ее закрытием.
Для восстановления кровотока врачами была выполнена коронарография с последующей установкой стентов с помощью малоинвазивных рентгеноэндоваскулярных технологий.
Специалисты отметили, что благодаря оперативному вмешательству пациент смог избавиться от болей и вернуться к активной жизни. Сейчас мужчина даже путешествует.
Медики подчеркнули решающее значение своевременного обращения к врачу при появлении тревожных симптомов.
«Очень важно не откладывать визит к специалисту при признаках сердечно-сосудистых заболеваний, так как раннее лечение значительно повышает шансы на успешный исход», — отметили кардиологи.
Кроме того, этот случай наглядно демонстрирует эффективность современных методов диагностики и лечения, используемых в МСЧ № 4 для улучшения качества, а иногда даже спасения жизни пациентов.


Фото: Минздрав





















































































































